Bahaya rokok dan
dampak rokok bagi kesehatan memang sudah dicantumkan dalam bungkus rokok yang dijual dipasaran. Disana disebutkan bahaya rokok untuk kesehatan "
bisa menyebabkan kanker, serangan jantung, impotensi dan gangguan kehamilan dan janin".
 |
| bahaya rokok - bahaya merokok |
Akan tetapi, walaupun
bahaya rokok serta zat rokok yang terkandung didalamnya sudah disebutkan bungkus, masih banyak masyarakat Indonesia yang merokok aktif. Bukan saja Indonesia, bahkan dunia.
Sebenarnya, perang terhadap rokok sudah dilakukan oleh berbagai orang secara individu maupun secara kelembagaan dan organisasi. Tidak salah akhirnya jika pada setiap tanggal
31 Mei seluruh dunia merayakan atau mengkampanyekan
World No Tobacco Day, atau di Indonesia kita menyebutnya hari tanpa asap rokok.
 |
| kampanye anti rokok |
Perlu diketahui, bahwa
World No Tobacco Day tersebut adalah anggota dari badan kesehatan dunia-WHO. Jadi, bisa dipastikan bahaya merokok memang benar dan bukan main-main.
Nah, sebelum kita bicara
tentang bahaya rokok, baiknya kita lihat dulu alasan kenapa rokok itu disebut berbahaya bagi kesehatan. Maksudnya adalah, mari kita lihat zat berbahaya rokok yang akan mengganggu kesehatan dalam setiap isapan rokok.
A. Zat Berbahaya dalam Rokok
1. NikotinZat ini mengandung candu bisa menyebabkan seseorang ketagihan untuk trus menghisap rokok
Pengaruh bagi tubuh manusia :
- menyebabkan kecanduan / ketergantungan
- merusak jaringan otak
- menyebabkan darah cepat membeku
- mengeraskan dinding arteri
2. TarBahan dasar pembuatan aspal yang dapat menempel pada paru-paru dan bisa menimbulkan iritasi bahkan kanker
Pengaruh bagi tubuh manusia :
- membunuh sel dalam saluran darah
- Meningkatkan produksi lendir diparu-paru
- Menyebabkan kanker paru-paru
3. Karbon MonoksidaGas yang bisa menimbulkan penyakit jantung karena gas ini bisa mengikat oksigen dalam tubuh.
Pengaruh bagi tubuh manusia :
- mengikat hemoglobin, sehingga tubuh kekurangan oksigen
- menghalangi transportasi dalam darah
4. Zat KarsinogenPengaruh bagi tubuh manusia :
- Memicu pertumbuhan sel kanker dalam tubuh
5. Zat Iritan- Mengotori saluran udara dan kantung udara dalam paru-paru
- Menyebabkan batuk
Zat-zat asing berbahaya tersebut adalah zat yang terkandung dalam dalam ASAP ROKOK, dan ada 4000 zat kimia yang terdapat dalam sebatang ROKOK, 40 diantaranya tergolong zat yang berbahaya misalnya : hidrogen sianida (HCN) , arsen, amonia, polonium, dan karbon monoksida (CO).
1. Penyakit jantung |
| bahaya merokok buat jantung |
Rokok menimbulkan aterosklerosis atau terjadi pengerasan pada pembuluh darah. Kondisi ini merupakan penumpukan zat lemak di arteri, lemak dan plak memblok aliran darah dan membuat penyempitan pembuluh darah. Hal ini menyebabkan penyakit jantung.
Jantung harus bekerja lebih keras dan tekanan ekstra dapat menyebabkan angina atau nyeri dada. Jika satu arteri atau lebih menjadi benar-benar terblokir, serangan jantung bisa terjadi.
Semakin banyak rokok yang dihisap dan semakin lama seseorang merokok, semakin besar kesempatannya mengembangkan penyakit jantung atau menderita serangan jantung atau stroke.
2. Penyakit paruRisiko terkena pneumonia, emfisema dan bronkitis kronis meningkat karena merokok. Penyakit ini sering disebut sebagai penyakit paru obstruktif kronik (PPOK).
Penyakit paru-paru ini dapat berlangsung dan bertambah buruk dari waktu ke waktu sampai orang tersebut akhirnya meninggal karena kondisi tersebut. Orang-orang berumur 40 tahun bisa mendapatkan emfisema atau bronkitis, tapi gejala biasanya akan*jauh lebih buruk di kemudian hari, menurut American Cancer Society.
3. Kanker paru dan kanker lainnyaKanker paru2 sudah lama dikaitkan dg bahaya rokok, yang juga dapat menyebabkan terhadap kanker lain seperti dari mulut, kotak suara atau laring, tenggorokan dan kerongkongan. Merokok juga dikaitkan dengan kanker ginjal, kandung kemih, perut pankreas, leher rahim dan kanker darah (leukemia).
4. DiabetesMerokok meningkatkan resiko terjadinya diabetes, menurut Cleveland Clinic. Rokok juga bisa naik menyebabkan komplikasi dari diabetes, seperti penyakit mata, penyakit jantung, stroke, penyakit pembuluh darah, penyakit ginjal dan masalah kaki.
5. ImpotensiRokok merupakan faktor resiko utama untuk penyakit pembuluh darah perifer, yang mempersempit pembuluh darah yang membawa darah ke seluruh bagian tubuh. Pembuluh darah ke p3nis kemungkinan juga akan terpengaruh karena merupakan pembuluh darah yg kecil & dapat mengakibatkan disfungsi ereksi/impoten.
6. Menimbulkan KebutaanSeorang yang merokok menimbulkan meningkatnya resiko degenerasi makula yaitu penyebab kebutaan yang dialami orang tua. Dalam setudi yg diterbitkan dalam 'Archives of Ophthalmology' pada tahun 2007 menemukan yaitu orang merokok empat kali lebih mungkin dibanding orang yang bukan perokok untuk mengembangkan degenerasi makula, yg merusak makula, pusat retina, dan menghancurkan penglihatan sentral tajam.
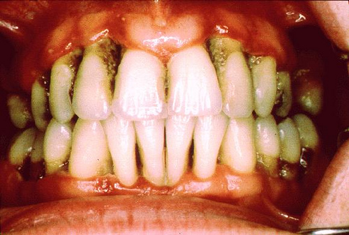
7. Penyakit mulutPenyakit mulut yang disebabkan oleh rokok antara lain kanker mulut, kanker leher, penyakit gigi, penyakit pada gigi dan nafas.
8. Gangguan JaninMerokok berakibat buruk terhadap kesehatan reproduksi dan janin dalam kandungan dan
kehamilan, termasuk infertilitas (kemandulan), keguguran, kematian janin, bayi lahir berberat badan rendah, dan sindrom kematian mendadak bayi.
9. Gangguan Pernafasan |
| bahaya merokok |
Merokok meningkatkan risiko kematian karena penyakit paru kronis hingga sepuluh kali lipat. Sekitar 90% kematian karena penyakit paru kronis disebabkan oleh merokok.
Sebagai generasi muda bangsa yang dituntut lebih aktif dan berperan dalam negara, baiknya kita bisa memahami dan ikut mengkampanyekan 'no smoking' bukan hanya dihari kampanye 31 Mei, akan tetapi setiap hari dan setiap saat.
Mirisnya, saat ini Rokok sudah dikonsumsi oleh anak-anak dibawah umur dan sudah menjadi sebuah 'keharusan' dalam artian mereka sudah candu terhadap rokok tersebut. Mereka seakan terbebaskan oleh sebatang rokok yang mereka isap.
Jika saja anda adalah salah satu orang yang merokok aktif, cobalah untuk berhenti merokok dengan melakukan cara sebagai berikut. Hal penting yang harus dilakukan dalam berhenti merokok adalah NIAT yang sungguh-sungguh.
 |
| cara berhenti merokok |
1. Niat yang sungguh-sungguh untuk berhenti merokok.
2. Belajar membenci rokok
3. Bergaullah dengan orang yang tidak merokok
4. Sering-sering pergi ke tempat yang ruangannya ber-AC
5. Pindahkan semua barang-barang yang berhubungan dengan rokok.
6. Jika ingin merokok, tundalah 10 menit lagi.
7. Beritau teman dan orang terdekat kalau kita ingin berhenti merokok.
8. Kurangi jumplah merokok sedikit demi sedikit.
9. Hilangkan kebiasaan Bengong atau menunggu.
10. Sering-seringlah pergi ke rumah sakit, agar tau pentingnya kesehatan.
11. Cari pengganti rokok, misalnya permen atau gula.
12. Coba dan coba lagi jika masih gagal.
Semoga informasi tentang
Bahaya Merokok atau
Bahaya Rokok diatas bisa memeberikan kita pencerahan dan pemahaman yang lebih baik tentang dampak bahaya rokok.